矯正歯科とは

歯科矯正とは、主に不正な歯並びを整える治療と考えられていますが、それだけではありません。矯正治療は、見た目の美しさを改善するだけでなく、発音の改善や、前歯での確実な噛み切りと奥歯での効果的な咀嚼、さらには全身のバランスを考慮した咬合の調整など、さまざまな機能的な改善も目的としています。 歯の不揃いを矯正することで、清掃がしやすくなり、口腔衛生の向上に寄与するため、結果的に歯の寿命を延ばす予防的な効果も期待できます。また、成長期にあるお子さまに対しては、顎や顔の適切な成長と発育をサポートする役割も果たします。 このように、矯正治療は、審美的な改善に留まらず、機能的な向上や長期的な健康維持を目的とした、歯科医療の重要な一分野です。
歯列矯正を受けるタイミング
1 大人の矯正治療
舌側矯正やマウスピース型矯正装置などの目立ちにくい矯正装置を使用することが可能です。
2 中学生・高校生の矯正
永久歯列が完成している中高生は、大人の矯正と同じ治療となります。大人に比べると治療期間が短縮できる傾向にあります。
3 こどもの矯正治療
Ⅰ期治療とⅡ期治療に分かれます。
Ⅰ期治療は乳歯と永久歯が混ざった混合歯列期に行います。成長期に顎の骨の形を整えたり、口腔周囲の悪習癖の改善を目的とします。
一方、Ⅱ期治療では永久歯が生えそろった後に、Ⅰ期治療の後の仕上げの治療を目的とし、歯を移動させて歯並びを整えます。
当院の矯正歯科治療の特長
患者様一人ひとりの状態に合わせた精密な診査・診断で、適切な治療法をご提案

当院では、矯正治療を始める前に 30分間のカウンセリングを行っております。
検査をご希望の方は歯並びや顎の状態を詳細に検査・分析し、その結果を基に適切な治療法を提案いたします。検査には、歯の型取りやデジタル装置、頭部エックス線規格写真(セファロ)を用いて、精密な診断を行います。
カウンセリング:30分 無料
矯正を専門とする歯科医師が提供する質の高い治療

当院では、日本矯正歯科学会認定医の歯科医師が診療を全て担当します。矯正治療に必要な装置や技術はもちろん、患者様の悩みや症状に合わせた個別対応を重視しています。矯正装置には、目立ちにくいマウスピース型矯正装置や舌側矯正を取り入れ、患者様のさまざまなニーズに応じ治療中は少しでも快適に過ごしていただけるよう工夫しています。また、費用や治療期間に関するご相談も、丁寧に対応いたします。
女性歯科医師による丁寧な診療

患者様の不安や悩みに寄り添い、相談しやすい環境づくりを心掛けています。特に、こどもから大人まで幅広い年齢層に対応し、安心して矯正治療を受けていただけるよう、日々努めています。
矯正歯科治療の種類
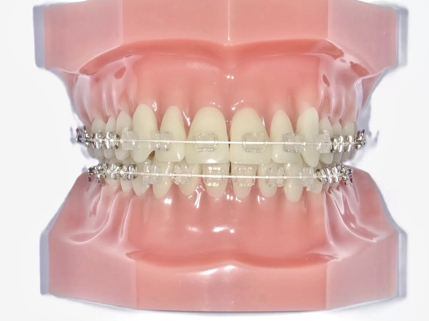
表側矯正(審美ブラケットと通常のワイヤー)

表側矯正は、最も基本的で広く用いられる矯正装置です。歯の表面に「ブラケット」と呼ばれる装置を装着し、それにワイヤーを通して歯を移動させます。このワイヤーは、月に一度程度の頻度で調整され、徐々に歯並びを整えていきます。ワイヤーの材質には、ステンレス製のものに加え、形状記憶合金製のものを取り入れ、痛みのコントロールに配慮しております。
表側矯正(審美ブラケットとホワイトワイヤー)

審美的なブラケットにホワイトワイヤーを用いて歯を並べます。通常のワイヤーよりも目立ちにくいホワイトワイヤーで矯正治療を行うことができます。
フルリンガル矯正(上下顎 舌側矯正装置)
舌側矯正は、歯の裏側に装置を装着する方法で、他人に気づかれることなく歯並びを整えたい方に適切です。


ハーフリンガル矯正
ハーフリンガル矯正は、上顎には舌側矯正、下顎には表側矯正を行う方法です。この治療法は、表側矯正よりも目立ちにくく、舌側矯正よりも費用を抑えられる点が特徴です。口を開けた際の見た目が気になる方におすすめです。


マウスピース型矯正装置(インビザライン)

インビザラインを用いたマウスピース型矯正は、取り外し可能で透明なマウスピースを使用する治療法です。ワイヤー矯正と比べて目立たず、他人の視線を気にせずに治療を進めることができます。さらに、精密な歯型に基づいたマウスピースは、痛みや違和感が少なく、装着時のトラブルも少ないのが特徴です。
マウスピース型矯正について
部分的な矯正治療
前歯部のみの軽度の歯列不正や、奥歯にインプラントを埋入する前に隣接する歯の位置を整えたい場合など、部分的な矯正治療が可能な場合があります。
小児矯正

Ⅰ期治療とⅡ期治療に分かれます。
Ⅰ期治療は乳歯と永久歯が混ざった混合歯列期に行います。成長期に顎の骨の形を整えたり、口腔周囲の悪習癖の改善を目的とします。取り外しのできる矯正装置から固定式装置があり、症状に合わせていくつか装置を組み合わせて使うこともあります。
一方、Ⅱ期治療では永久歯が生えそろった後に、歯を移動させて歯並びを整えたり、Ⅰ期治療の後の仕上げの治療を目的とします。
矯正歯科のメリット・デメリット
メリット
- 噛み合わせが改善され、虫歯や歯周病のリスクが減少。
歯並びが整うことで清掃しやすくなり、口腔内の健康を長期的に保ちやすくなります。 - 顎関節症の予防や改善。
顎の負担が軽減され、痛みや不快感が軽減される場合があります。 - 見た目が良くなり、自己肯定感が向上。
歯並びが整うことで自信が持てるようになり、笑顔に自信がつくことで社交的にもなれます。
デメリット
- 治療期間が長くなる場合があり、費用が高額。
治療には数年かかることがあり、費用面での負担も大きいため、慎重な計画が必要です。 - 矯正装置による口腔内の不快感や食事の制約。
装置に慣れるまでの期間や食事の際の制限があり、口内の違和感や痛みが続くことがあります。
歯科矯正治療をおすすめする基準

歯並びは、その人の顔の印象を大きく左右する重要な要素です。わずかな歯並びの調整でも、見た目が大きく改善され、美しさや魅力が際立ちます。
不正咬合を放置すると、さまざまな健康問題にもつながることがあります。例えば、噛み合わせが悪いと食べ物をうまく噛めず、消化不良を引き起こすことがあります。また、上下の歯が正常に噛み合わないことで歯の咬耗や、発音が不明瞭になるなどの問題も生じます。以下に該当する症状がある方は、一度当院にご相談いただくことをおすすめします。
出っ歯(上顎前突/じょうがくぜんとつ)

上の前歯が前方に突き出している状態で、横から見ると顕著にわかります。特に日本人に多く見られる症状で、見た目の問題だけでなく、口元の形にも影響を与えることがあります。
受け口(下顎前突/かがくぜんとつ)

下顎と下の前歯が前方に突出している状態です。この症状は見た目だけでなく、機能的にも問題を引き起こします。
上下顎前突(じょうかがくぜんとつ)

上顎と下顎の前歯が前突している状態です。歯並びの凸凹は少ない場合が多く、前歯が極端に唇側に傾斜しているため、口唇を閉じようとすると口腔周囲筋が過度に緊張します。そのため口唇が閉じにくく口呼吸になりがちで虫歯や歯周病のリスクが高まります。
乱杭歯(らんぐいし)/叢生(そうせい)

歯槽骨と歯の大きさの不調和が原因で、歯が不規則に並んでいる状態です。歯が重なり合って並ぶことで、歯磨きが困難になり、虫歯や歯周病のリスクが高まります。また、噛み合わせが悪く、しっかりと食べ物を噛むことができないことも問題です。
すきっ歯/空隙歯列(くうげきしれつ)

歯と歯の間に隙間がある状態です。隙間から余分な空気が漏れることで、発音がしにくくなることもあります。
過蓋咬合(かがいこうごう)

上の前歯が下の前歯を完全に覆ってしまう状態で、噛み合わせが深く、顎関節に負担がかかりやすく、その結果、顎関節症などの症状が現れることがあります。
開咬(かいこう)

上下の前歯が噛み合わず、隙間ができてしまう状態です。このため、正しい噛み合わせができず奥歯に過度な負担がかかりやすいという問題があります。
交叉咬合

上の歯が下の歯の外側に被さる噛み合わせではなく、歯列の一部が逆に被さっている状態です。成長期に交叉咬合の状態になっていると、顎の成長が正常に行われなくなり、顎がずれてしまうリスクがあります。
矯正歯科治療の流れ

1カウンセリング
矯正治療をご検討中の患者様に対し、日本矯正歯科学会認定医によるカウンセリングを実施しております。このカウンセリングでは、お口の中を実際に拝見しながら、大まかな治療計画や費用、治療期間についてご説明いたします。カウンセリングは約30分程度お時間をいただき、患者様の疑問やお悩みをじっくりとお伺いしますので、何でもお気軽にご相談ください。

2検査・診断
治療を始める前に、詳細な検査と診断を行います。セファログラムによるお顔のレントゲン撮影、歯型を取るための型取り、さらにはお口の中の写真撮影などを通じて、精密な診査を行います。これらの検査結果をもとに、患者様一人ひとりに適切な治療計画を立て、今後の治療方針をご説明いたします。

3治療
検査・診断に基づく治療計画に同意をいただけましたら、矯正装置の装着を開始します。治療期間中は、装置の調整のために月に1回程度の通院が必要です。治療期間は個々の口腔内の状態によって異なりますが、一般的に2~3年程度となります。特に小児矯正のⅠ期治療では、歯の生え変わりの進行により治療期間で個人差が多くなります。

4保定期間
矯正装置を取り外した後は、歯の後戻りを防ぐための保定期間に移行します。この期間は最低でも約2年間は必要です。リテーナーという保定装置を使用して歯並びを安定させます。リテーナーの装着は、治療の仕上がりを維持するために非常に重要です。

5メンテナンス
矯正治療が終了した後も、美しい歯並びを保つために定期的なメンテナンスをおすすめしております。メンテナンスでは、歯並びの状態を確認し、必要に応じてケアや調整を行います。長期間にわたり健康な歯並びを維持できるよう、ぜひご利用ください。
■通院期間・通院回数の目安
通院期間:1年〜5年 ※患者様によって異なります。
通院回数:1ヶ月に1回
費用一覧
| 初診相談 | 無料 |
|---|---|
| 検査・診断 | 33,000円(税込) |
| 小児矯正(Ⅰ期) | 385,000円 (税込) |
| 小児矯正(Ⅱ期) | 385,000円 (税込) |
| 成人矯正 (表側・通常のワイヤー) | 770,000円(税込) |
| 成人矯正 (表側・ホワイトワイヤー) | 880,000円 (税込) |
| ハーフリンガル (上顎舌側 下顎表側) | 990,000円 (税込) |
| リンガル (上下顎舌側) | 1,155,000円 (税込) |
| 調整料 (小児、表側矯正) | 3,300円~5,500円 (税込) |
| 調整料 (ハーフリンガル) | 6,600円 (税込) |
| 調整料 (フルリンガル) | 7,700円 (税込) |
| マウスピース型矯正装置 (インビザライン) | 440,000円~935,000円 (税込) |
| 調整料 (インビザライン) | 無料 |
| 保定装置代 | 44,000円 (税込) |
矯正治療に関するQ&A
- Q 矯正装置が目立たないか心配です。
- A 矯正装置が目立つことを心配される方には、目立ちにくい矯正装置をご用意しております。当院では表側矯正はすべて審美的なブラケットを用いています。さらに歯の裏側にワイヤーを取り付けるリンガル矯正やマウスピース型矯正装置にも対応しています。患者様一人ひとりのご要望に合わせた装置を選択できるよう、しっかりとサポートいたします。
- Q 矯正治療中にトラブルがあった場合どうしたらいいですか?
- A 当院は矯正歯科医師が月に数回ではなく常勤しているため、矯正歯科治療中に装置が外れたり、ワイヤーが当たって痛いなどのトラブルにはすぐに対応することが可能です。できるだけそのようなトラブルは無いように努めてはおりますが、矯正歯科治療の特性から急患対応となるトラブルを全く無くすことは困難なため、できるだけ早い対応を心掛けております。
- Q 矯正治療に痛みはありますか?
- A 矯正治療には多少の痛みを伴うことがありますが、個人差があります。特に装置を装着した直後の2~3日は歯に圧力がかかり、痛みを感じることが一般的です。しかし、ほとんどの方は数日で痛みに慣れ、通常通りの食事が可能になります。マウスピース型矯正の場合、ワイヤー矯正に比べて痛みが軽減されることが多く、歯にかかる力が緩やかであるため、早く慣れる方が多いです。
- Q 歯を削らないといけませんか?
- A 当院では、健康な歯をできる限り削らない方針で治療を進めております。しかし、理想的な歯並びを実現するために、やむを得ず歯を少し削る必要が生じることもあります。この場合、患者様の同意を得た上で、歯間を微調整するための「インタープロキシマルリデュークション(IPR)」と呼ばれる処置を行います。この処置は必要最小限の調整にとどめ、美しい仕上がりを目指します。
- Q 治療に抜歯は必要ですか?
- A 当院では、可能な限り歯を抜かない治療を目指しています。しかし、歯並びや咬合の改善のためにどうしても抜歯が必要な場合には、患者様と十分に相談した上で決定します。抜歯が不要なケースでは、歯の表面をわずかに削る「IPR」により、矯正に必要なスペースを確保する場合があります。
- Q 虫歯や歯周病があっても、矯正はできますか?
- A 基本的には、虫歯や歯周病がある場合、まずその治療を優先しますが、虫歯の位置や歯周病の進行状況によっては、治療と並行して矯正を進めることができる場合もあります。
また当院では常時一般歯科治療と矯正歯科治療が並行して行える環境となっております。そのため万が一矯正治療中に虫歯ができてしまった場合でもすぐに対応可能です。一度診察を受けていただき、歯科医師にご相談ください。
- Q 妊娠中でも矯正はできますか?
- A 妊娠中の方に対しては、治療前の検査で必要なレントゲン撮影が行えないため、治療開始時期は出産後をおすすめしています。ただし、妊娠前に検査を済ませている場合は、そのまま矯正治療を続けることが可能です。矯正装置自体が胎児に影響を与えることはありませんが、通院頻度や体調に応じた対応が必要となるため、担当医にご相談いただくことが大切です。
- Q 矯正終了後、どれくらいの期間リテーナー(保定装置)をつけないといけませんか?
- A 保定期間は個人差がありますが、一般的に少なくとも2~3年とされています。特に治療後半年から1年間は歯列が後戻りしやすいため、歯科医師の指示通りにリテーナーをつけることが大切です。リテーナーを正しく使用することで、矯正後の歯並びを長期間にわたり維持することができます。
矯正治療に伴う一般的なリスクと副作用について
① 最初は矯正装置による不快感、痛み等があります。数日間~1,2週間で慣れることが多いです。
② 歯の動き方には個人差があります。そのため予想された治療期間は目安となります。
③ 装置の使用状況、顎間ゴムの使用状況、定期的な通院等、矯正治療には患者さんの協力が非常に重要であり、それらが治療結果や治療期間に影響します。
④ 治療中は、装置が付いているため歯が磨きにくくなります。虫歯や歯周病のリスクが高まりますので、丁寧に磨いたり、定期的なメンテナンスを受けたりすることが重要です。また、歯が動くと隠れていた虫歯が見えるようになることがあります。
⑤ 歯を動かすことにより歯根が吸収して短くなることがあります。また、歯茎がやせて下がることがあります。
⑥ ごくまれに歯が骨と癒着していて歯が動かないことがあります。
⑦ ごくまれに歯を動かすことで神経が障害を受けて壊死することがあります。
⑧ 治療途中に金属等のアレルギー症状が出ることがあります。
⑨ 治療途中に顎関節症状がでることがあります。
⑩ 様々な問題により、当初予定していた治療計画を変更する可能性があります。
⑪ 歯の形を修正したり、咬み合わせの微調整を行う可能性があります。
⑫ 矯正装置を誤飲する可能性があります。
⑬ 装置を外すときに、エナメル質に微小な亀裂が入る可能性や、かぶせ物(補綴物)の一部が破損する可能性があります。
⑭ 装置が外れた後、保定装置を指示通り使用しないと後戻りが生じる可能性が高くなります。
⑮ 装置が外れた後、現在の咬み合わせに合った状態のかぶせ物(補綴物)や虫歯の治療(修復物)などをやりなおす可能性があります。
⑯ あごの成長発育により咬み合わせや歯並びが変化する可能性があります。
⑰ 治療後に親知らずが生えて凸凹が生じる可能性があります。加齢や歯周病等により歯を支える骨がやせると咬み合わせや歯並びが変化することがあります。その場合、再治療等が必要になることがあります。
⑱ 矯正歯科治療は、一度始めると元の状態に戻すことは難しくなります。